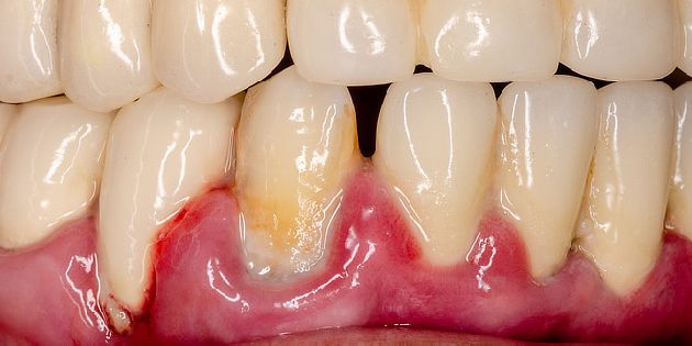
Zdroje věnované popisu, příčině, příznakům, diagnostice a léčbě parodontitidy (hovorově „parodontózy“).. Dozvíte se, co obsahuje zubní plak, proč se tvoří zubní kámen a jakým způsobem správně provádět zubní hygienu a také, jak často by se mělo chodit na preventivní prohlídky k zubnímu lékaři a co vás čeká při návštěvě dentální hygieny.
Více v kategorii Ústa a zuby
Ve zdravé ústní dutině žije v přirozené rovnováze nespočet mikroorganismů, především asi 300 druh...
Parodontitida je v dnešní době nejčastějším důvodem ztráty zubů v dospělém věku. Záněty dásní se...
Pro parodontitidu platí totéž, co pro většinu jiných nemocí: čím dříve je diagnostikována a léčen...
Stává se vám, že se zakousnete do jablka a zanecháte na něm červené stopy? Pak s vysokou pravděpo...
Zubní kaz
Zdroje věnované prevenci, příznakům a léčbě zubního kazu, dentální hygieně a rekonstrukci chrupu.
Ošetření kořenových kanálků
Co je kořenový kanálek a kde se nachází? Jak probíhá jeho ošetření a proč se tento zákrok provádí? Jaké mohou být příčiny cyst, váčků, zánětu okostice a dásní? Odpovědi a další informace, které se...
Afty
Co jsou afty, jak vypadají, kde se tvoří a proč vznikají? Komu se nejčastěji dělají a je možný přenos z člověka na člověka? Lze předejít těmto nepříjemným vřídkům a jaké jsou možnosti léčby? Odpově...