Onemocnění zubů

Zubní prevence by měla začínat od prvních mléčných zubů a měla by nás provázet celý život. Nicméně zubní kazy se po onemocněních dásní i nadále řadí k nejrozšířenějším chronickým onemocněním. Proto by mělo být jak pro děti, tak pro dospělé čištění zubů alespoň 2× denně samozřejmostí. Správná péče je totiž nejdůležitějším předpokladem pro krásné a zdravé zuby od dětství až do vysokého věku.


  • Zubní kaz: co to je?

    Zubní kaz je svým způsobem „infekční“ onemocnění, které způsobují kyseliny z bakterií. Toto civilizační onemocnění je velmi rozšířené, v České republice postihuje velkou část populace. Ačkoli v posledních několika desetiletích je zubní kaz na ústupu, i nadále je nejčastěji se vyskytujícím onemocněním zubů.

  • Zubní kaz: diagnóza a léčba

    Jako zubní kaz (karies) se označuje velmi rozšířené onemocnění zubů, jehož příčinou je dlouhodobé působení kyselin na zuby. Kyseliny vznikají při odbourávání cukrů bakteriemi, které se nacházejí v zubním plaku. Tím se odvápňují a následně i poškozují zuby. Vznik kazů ovlivňují zejména tři faktory: odolnost zubů, množství přijatých cukrů a zubní hygiena.

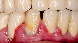
  • Zánět dásní (gingivitida)

    Stává se vám, že se zakousnete do jablka a zanecháte na něm červené stopy? Pak s vysokou pravděpodobností trpíte zánětem dásní neboli gingivitidou. Zubní lékaři rozlišují mezi akutní a chronickou gingivitidou. U neléčené gingivitidy hrozí riziko, že zánět přejde i na závěsný aparát zubu, tzv. parodont. Gingivitida je jedním z nejčastěji se vyskytujících onemocnění a často vede ke vzniku parodontitidy.

  • Parodontitida: co to je?

    Parodontitida je v dnešní době nejčastějším důvodem ztráty zubů v dospělém věku. Záněty dásní se vyskytují často a většinou probíhají bezproblémově. Jakmile ovšem zánět přejde na jiné části tkáně obklopující zub – tzv. parodont – a poškodí je, jedná se o parodontitidu (hovorově „paradentóza“).

  • Parodontitida: diagnóza a léčba

    Pro parodontitidu platí totéž, co pro většinu jiných nemocí: čím dříve je diagnostikována a léčena, tím větší má pacient šanci na uzdravení. Léčba parodontitidy si klade za cíl v maximální možné míře zabránit progresi onemocnění, a tím i dalšímu poškození a ztrátě zubů. Důležitým předpokladem úspěšné léčby je odstranění zánětu dásní i parodontu. Léčba proto začíná profesionálním ošetřením a „vyčištěním“ zubů, především od zubního kamene, které obvykle provádí dentální hygienistka.

  • Skřípání zubů (bruxismus)

    Až každý pátý člověk skřípe zuby – často se tak děje nevědomě ve spánku, ale může se jednat také o vědomé skřípání zubů během dne. Skřípání zubů (bruxismus) je nejen akusticky nepříjemné, ale může také způsobit závažné poškození zubů. Příčiny mohou být různé a léčba obvykle není jednoduchá.