Přejít na obsah
O NZIP
O NZIS Open
Zapojené organizace
Pro partnery a média
Události, komunikace
Často kladené dotazy
Kdo jsme
Více
Přihlášení pro autory
Napište nám
Průvodci zdravím
Prevence a zdravý životní styl
Informace o nemocech
Životní situace
Datové zpravodajství
Mapa zdravotní péče
Rejstřík pojmů
Hry
Více
Menu
Domů
Aktuální:
Vyhledávání
Vyhledávání v obsahu
NZIP
Vyhledávání v NZIP
x
Příspěvky (32)
Odborníci/Zařízení (1)
Rejstříkové pojmy (2)
Datové zpravodajství (0)
Počet výsledků: 32
Otevřít filtraci
Seřadit dle:
Doporučené
Od nejnovějších
Od nejstarších
Kouření poškozuje vaše zuby a dásně
V rámci směrnice EU o tabákových výrobcích ze dne 20. května musí být mj. na balení cigaret i jiných tabákových výrobků povinně umísťována nepřehlédnutelná kombinovaná zdravotní varování, která spotř...
Závislosti a návykové látky
Kouření a další užívání tabáku a nikotinu
VIDEO
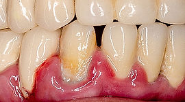
Zánět dásní: co to je a jak se léčí
V tomto článku je napsané, jak poznat zánět dásní, jak vzniká a jak se léčí. Zánětu dásní se také říká gingivitida . Může být akutní zánět dásní nebo chronický zánět dásní. Zánět dásní je velmi časté...
Ústa a zuby
Onemocnění zubů
ČLÁNEK
Zánět dásní (gingivitida)
Stává se vám, že se zakousnete do jablka a zanecháte na něm červené stopy? Pak s vysokou pravděpodobností trpíte zánětem dásní neboli gingivitidou. Zubní lékaři rozlišují mezi akutní a chronickou gin...
Ústa a zuby
Onemocnění zubů
ČLÁNEK
Parodontitida: co to je?
Parodontitida je v dnešní době nejčastějším důvodem ztráty zubů v dospělém věku. Záněty dásní se vyskytují často a většinou probíhají bezproblémově. Jakmile ovšem zánět přejde na jiné části tkáně obk...
Ústa a zuby
Onemocnění zubů
ČLÁNEK
Parodontitida: co to je
V tomto článku se dozvíte, co to je parodontitida. Je tu napsané, jaké má příznaky a jak vzniká. Parodontitida je onemocnění zubů . Lidé tomuto onemocnění říkají paradentóza. Je to zánět v okolí zubu...
Ústa a zuby
Onemocnění zubů
ČLÁNEK
Parodontitida: diagnóza a léčba
Pro parodontitidu platí totéž, co pro většinu jiných nemocí: čím dříve je diagnostikována a léčena, tím větší má pacient šanci na uzdravení. Léčba parodontitidy si klade za cíl v maximální možné míře...
Ústa a zuby
Onemocnění zubů
ČLÁNEK
Péče o zuby: jak je správně čistit?
Ať už jíme tvrdé, měkké, horké nebo studené potraviny, naše zuby nám každý den pomáhají v rozmělňování potravy na sousta vhodná do žaludku. Aby mohly zuby plnit tuto svou úlohu až do vysokého věku, j...
Ústa a zuby
Zubní a ústní hygiena
ČLÁNEK
Na technice čištění zubů záleží!
Kdo si chce své zuby čistit důkladně, musí se nejprve naučit správnou techniku čištění. Nesprávným čištěním totiž člověk může nadělat víc škody než užitku. Jednoduchá a snadno zapamatovatelná technik...
Ústa a zuby
Zubní a ústní hygiena
ČLÁNEK
Péče o zuby v těhotenství
S těhotenstvím přichází změna hormonální rovnováhy, která je spojená se změnami v tkáních po celém těle, a tedy i v ústní dutině. Dásně jsou více prokrvené a jsou náchylnější ke krvácení. Silnější pr...
Ústa a zuby
Zubní a ústní hygiena
ČLÁNEK
Parodontitida: jak lékař pozná, že ji máte a jak se léčí
V tomto článku je napsané, jak zubař pozná, že máte parodontitidu. Je tu také napsané, jak se parodontitida léčí. Jak lékař pozná, že máte parodontitidu? Při pravidelných návštěvách zubaře zubař kont...
Ústa a zuby
Onemocnění zubů
ČLÁNEK
Zobrazeno 1 až 10 z 32
1
2
3
4
Zrušit filtraci
Typ
Všechny články
(31)
Článek
(23)
Infografika
(0)
Pro snadné čtení
(7)
Video
(1)
Doporučený zdroj
(1)
Kategorie
Alergie
(0)
Anatomie, fungování lidského těla
(2)
Balení potravin a zdraví
(0)
COVID-19
(0)
Centrální evidence očkování ČR
(0)
Diabetes (cukrovka)
(0)
Diagnostické metody
(0)
Duševní onemocnění
(0)
Duševní zdraví
(0)
Dárcovství
(0)
Dýchací cesty a plíce
(0)
Dětské nemoci a jiné potíže
(0)
Důležité kontakty
(0)
HIV
(0)
Hračky a zdraví
(0)
Hygiena
(0)
Infekční nemoci
(2)
Informační servis
(0)
Informovaný pacient
(0)
Kojení
(1)
Kosti, klouby, svaly, šlachy
(0)
Krev
(0)
Kvalita a bezpečí poskytovaných zdravotních služeb
(0)
Kůže, vlasy a nehty
(0)
Ledviny a močový měchýř
(0)
Léčivé přípravky a zdravotnické prostředky
(0)
Metabolismus, hormony obecně
(0)
Mozek a nervy
(1)
Nemoci z povolání
(0)
Nemocnice a hospitalizace
(0)
Národní kardiologický informační systém
(0)
Nástroje elektronického zdravotnictví
(0)
Obezita
(0)
Oči
(0)
Očkování (vakcinace)
(0)
Paliativní medicína
(0)
Podpora zdraví
(0)
Pohlavní orgány, pohlavní hormony
(0)
Pohybová aktivita
(0)
Prevence kardiovaskulárních onemocnění
(0)
Preventivní prohlídky
(1)
Práva pacienta
(0)
Péče o vážně nemocné dítě
(0)
Péče v posledním stadiu života
(0)
Přihodilo se mi
(0)
Registrující lékař
(0)
Rodiče a děti
(0)
Screening
(0)
Sexuální zdraví
(0)
Sexuálně přenosné infekce
(0)
Sociální zabezpečení
(0)
Spotřebitelské výrobky a zdraví
(0)
Srdce, krevní oběh a cévy
(0)
Trávicí systém
(0)
Těhotenství, porod a šestinedělí
(0)
Události, komunikace
(0)
Ušní, nosní a krční (ORL)
(0)
Vzácná onemocnění
(0)
Výživa nemocných
(0)
Výživa zdravé populace
(2)
Zdravotní pojištění
(0)
Zdravotní postižení
(0)
Zdravotní systém a instituce
(0)
Zhoubné nádory (rakovina)
(2)
Zvláštní druhy zdravotních služeb
(0)
Závislosti a návykové látky
(3)
ccc
(0)
Úrazy, otravy a popáleniny
(0)
Ústa a zuby
(18)
Život zachraňující informace
(0)
Životní prostředí a zdraví
(0)
Počet výsledků
10 na stranu
25 na stranu
50 na stranu