Přejít na obsah
  • O NZIP
  • O NZIS Open
  • Zapojené organizace
  • Pro partnery a média
  • Události, komunikace
  • Často kladené dotazy
  • Kdo jsme
Více
  • Přihlášení pro autory
  • Napište nám
  • Průvodci zdravím
  • Prevence a zdravý životní styl
  • Informace o nemocech
  • Životní situace
  • Datové zpravodajství
  • Mapa zdravotní péče
  • Rejstřík pojmů
  • Hry
Více
  • Domů
  • Informace o nemocech
  • Srdce, krevní oběh a cévy
  • Cévní mozková příhoda
  • Aktuální: Akutní cévní mozková příhoda: diagnóza

Akutní cévní mozková příhoda: diagnóza

Cévní mozková příhoda 5 min. čtení
Autor: gesundheit.gv.at
Datum poslední aktualizace: 26. 2. 2021

Jakmile se pacient s cévní mozkovou příhodou dostane na oddělení urgentního příjmu nebo do iktového centra (specializovaného oddělení pro léčbu cévních mozkových příhod), musí ošetřující lékař co nejdříve rozhodnout o vhodné léčbě. První 4,5 hodiny od počátku příznaků jsou totiž tzv. terapeutickým oknem, během nějž je možné zachránit mozkové buňky a omezit tak závažnost poškození. Platí, že čím dříve je léčba zahájena, tím lépe. Proto by pacienti – nebo jejich příbuzní – v případě zpozorování příznaků mrtvice neměli váhat s kontaktováním záchranné služby.

Do tří hodin od počátku prvních příznaků je možné zahájit tzv. trombolýzu, tedy terapii, jejímž cílem je rozpustit vytvořenou krevní sraženinu, která blokuje mozkové cévy. Po přijetí do nemocnice tedy musí být okamžitě provedena cílená diagnóza. Kromě neurologických a klinických vyšetření se používají moderní zobrazovací metody (CT, MRI, angiografie) a zobrazovací metody založené na ultrazvuku (dopplerovská barevná duplexní sonografie, echokardiografie).

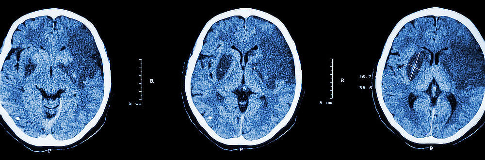
CT – hlavní diagnostická metoda

Prvním vyšetřením u pacienta s podezřením na cévní mozkovou příhodu je vždy výpočetní tomografie (CT). Pomocí CT lze s velmi vysokou mírou jistoty prokázat či vyvrátit přítomnost krvácení do mozku. Při tomto vyšetření je pacientova hlava rentgenována z různých úhlů, což umožňuje mnohem lepší a komplexnější zobrazení vyšetřované tkáně než prostý rentgenový snímek. Obrázky řezu poskytují informace o umístění, rozsahu a příčině oběhové poruchy. CT vyšetření je bezbolestné.

MRI – magnetická rezonance

Magnetická rezonance (MRI) poskytuje ještě přesnější informace o výskytu cévní mozkové příhody než CT. Není však vždy k dispozici a ani nebývá vyhodnocena tak rychle jako CT. Z tohoto důvodu MRI nepřichází v úvahu jako počáteční vyšetření pro rozhodnutí, zda je potřeba zahájit trombolytickou léčbu.

Dalším omezením je to, že vyšetření pomocí magnetické rezonance nemůže být prováděno u lidí s kovovými protézami a implantáty nebo s kardiostimulátorem. Tito pacienti – nebo jejich příbuzní – by měli o takových implantátech předem informovat lékaře. Problémem také je, že pacient musí po celou dobu vyšetření udržet hlavu v klidu, což u lidí s poruchami porozumění nebo pohybového ústrojí není vždy možné. Ze všech těchto důvodů (především však kvůli rychleji dostupným výsledkům) se obvykle na počátku volí CT jako rychlejší metoda poskytující výsledky, které jsou pro rozhodnutí o terapii dostatečné.

Pomocí MRI lze nicméně velmi podrobně detekovat i nejmenší ischemický infarkt, krvácení či otok. Tato metoda umožňuje bezbolestné získání velmi přesných informací o umístění, rozsahu a dokonce i „stáří“ mrtvice.

Duplexní sonografie

Duplexní sonografie je ultrazvuková metoda, která umožňuje mimo jiné zjistit aterosklerotické změny ve velkých krčních a mozkových tepnách. Její výhodou oproti jiným vyšetřovacím metodám je, že lze určit také tlak, rychlost a objem průtoku krve určitým místem, a tím zjistit, nakolik zúžení krevní cévy ovlivňuje průtok krve v daném místě.

Tato metoda je vynikající pro stanovení příčin cévní mozkové příhody, přičemž jsou vyšetřovány i cévy vedoucí do mozku a srdce. Vyšetření se zpravidla provádí co nejdříve po nástupu příznaků (do 24 hodin), jeho výsledky však nemají tak zásadní vliv na léčbu akutního stavu (např. zahájení trombolýzy) jako výsledky CT. Jednou z výhod této metody je, že nezatěžuje pacienta rentgenovými paprsky ani kontrastními látkami. Stejně jako CT a MRI je i duplexní sonografie bezbolestná.

Angiografie

Ještě lepšího vyšetření jednotlivých mozkových tepen než pomocí duplexní sonografie lze docílit pomocí angiografie. Vzhledem k riziku nežádoucích účinků se však angiografie používá jen zřídka pro čistě diagnostické účely. Výsledky duplexní sonografie nebo neinvazivní vizualizace mozkových tepen pomocí magnetické rezonance (MR angiografie) jsou totiž dostatečné pro téměř všechna rozhodnutí, které jsou důležitá pro zahájení správné léčby.

Při angiografii lékař zavede do krční tepny speciální cévní katetr a vstříkne kontrastní látku. Oblast hlavy je pak zrentgenována a výsledný snímek (angiogram) zobrazuje vnitřek cév naplněný kontrastní látkou. Velkou výhodou angiografie je, že lékař může během tohoto vyšetření provádět i zákroky ke zprůchodnění ucpaných cév, například tyto cévy roztáhnout nebo v daném místě rozpustit krevní sraženinu. Proto se angiografie stále častěji používá pro terapeutické zásahy, zvláště pak pro odstraňování velkých krevních sraženin u pacientů s těžkou cévní mozkovou příhodou. V posledních letech byly publikovány zásadní mezinárodní studie prokazující, že použití této metody může u 50 % pacientů s těžkou cévní mozkovou příhodou způsobenou ucpáním mozkové cévy předejít postižení přetrvávajícímu tři měsíce po infarktu.

Mezi možné nežádoucí účinky této metody patří hematomy, sekundární krvácení, alergické reakce na kontrastní látku atd.

Klinická a neurologická vyšetření

CT, MRI, duplexní sonografie nebo angiografie však nikdy nejsou jedinými vyšetřeními. Lékař vždy provede také základní klinická a neurologická vyšetření zahrnující:

  • Odebrání osobní anamnézy pacienta (může být zjišťováno od příbuzných, pokud pacient není schopen odpovídat). Během dotazování se zjišťují pacientovy další nemoci, pravidelné užívání léků atd.
  • Určení neurologického stavu pacienta a jeho závažnosti na neurologické škále NIHSS (zkratka pochází z anglického názvu National Institute of Health Stroke Scale) [1]. Závažnost se určuje mimo jiné na základě toho, jestli byla u pacienta pozorována paralýza, poruchy řeči nebo zraku.
  • Odběr krve pro laboratorní vyšetření: stanovuje se krevní obraz, koagulace, glykemie a elektrolyty.
  • Kontrola krevního tlaku, tepové frekvence a teploty.
  • EKG pro potvrzení nebo vyvrácení toho, zda je příčinou cévní mozkové příhody u daného pacienta srdeční arytmie.
  • Zajištění žilního přístupu, pokud už nebylo provedeno lékařem záchranné služby.

Kdo provádí vyšetření?

Procesu diagnostiky CMP se mohou účastnit lékaři různých specializací, zvláště pak neurologové, internisté a radiologové. V praxi celý proces diagnostiky a léčby cévní mozkové příhody obvykle řídí neurolog. MRI nebo CT snímky jsou diskutovány s radiologem; internista nebo kardiolog je přivolán, pouze pokud je cévní mozková příhoda spojena zároveň i se srdečními problémy.

Související odkazy

  1. Michal Reif: Hodnotící škály používané u pacientů s cévní mozkovou příhodou. Neurologie pro praxi 2011, 12(Suppl G): 12–15. (odkaz vede na PDF soubor na webu neurologiepropraxi.cz, 216 kB)

Jak jste spokojeni s tímto článkem?

Vaše zpětná vazba

Sdílejte článek

Mohlo by vás zajímat

Vše z kategorie

Související články na NZIP

Cévní mozková příhoda

Cévní mozková příhoda: co to je?

Cévní mozková příhoda vzniká následkem náhlého problému s krevním zásobením mozku. Výsledkem je,...

Cévní mozková příhoda

Cévní mozková příhoda: jak ji poznat?

U CMP jde především o čas. Důsledky cévní mozkové příhody lze výrazně zmírnit, pokud jsou příznak...

Cévní mozková příhoda

Akutní cévní mozková příhoda: co to je?

Při CMP platí, že nic není v tuto chvíli tak důležité jako čas. Každá minuta poruchy prokrvení v...

Cévní mozková příhoda

Akutní cévní mozková příhoda: léčba

Standardní akutní léčbou ischemické cévní mozkové příhody je stále trombolýza. Při této metodě je...

Související doporučené zdroje

Cévní mozková příhoda

Poznej mozkovou mrtvici

Leták názorně předkládá základní informace o cévní mozkové příhodě a jak ji bezpečně poznat, abychom mohli včas přivolat pomoc.Leták vydala Česká aliance pro kardiovaskulární onemocnění, z.s. (ČAKO...

Přejít na externí zdroj
Cévní mozková příhoda

Hrdinové FAST: Zachraňte své prarodiče!

Kampaň hrdinů FAST je vzdělávací iniciativa pro děti z mateřských škol a prvního stupně základních škol. Zvyšuje povědomí o příznacích mrtvice a důležitosti rychlé akce. Využívá přitom dětské nadše...

Přejít na externí zdroj
Garant obsahu

Ministerstvo zdravotnictví

Palackého náměstí 375/4
128 01 Praha 2 – Nové Město

www.mzcr.cz

Garant vývoje

Ústav zdravotnických informací a statistiky ČR

Palackého náměstí 375/4
128 01 Praha 2 – Nové Město

www.uzis.cz

Najdete na NZIP
Průvodci zdravím
Prevence a zdravý životní styl
Informace o nemocech
Životní situace
Datové zpravodajství
Mapa zdravotní péče
Rejstřík pojmů
Hry
Mapa obsahu
O portálu
O NZIP
Zapojené organizace
Pro partnery a média
Prohlášení o přístupnosti
Kdo jsme
Sledujte nás
Napište nám Přihlaste se k odběru newsletteru

Národní zdravotnický informační portál [online]. Praha: Ministerstvo zdravotnictví ČR a Ústav zdravotnických informací a statistiky ČR, 2026 [cit. 18. 4. 2026]. Dostupné z: https://www.nzip.cz. ISSN 2695-0340.


Ministerstvo zdravotnictví Ústav zdravotnických informací a statistiky ČR
  • Systematická edukace a zvyšování zdravotní gramotnosti populace prostřednictvím NZIP (CZ.03.02.02/00/22_005/0001137)
  • Zvyšování informovanosti prostřednictvím Národního zdravotnického informačního portálu (CZ.03.4.74/0.0/0.0/15_025/0016090)
PROHLÁŠENÍ O PŘÍSTUPNOSTI