Přejít na obsah
  • O NZIP
  • O NZIS Open
  • Zapojené organizace
  • Pro partnery a média
  • Události, komunikace
  • Často kladené dotazy
  • Kdo jsme
Více
  • Přihlášení pro autory
  • Napište nám
  • Průvodci zdravím
  • Prevence a zdravý životní styl
  • Informace o nemocech
  • Životní situace
  • Datové zpravodajství
  • Mapa zdravotní péče
  • Rejstřík pojmů
  • Hry
Více
  • Domů
  • Informace o nemocech
  • Oči
  • Zelený a šedý zákal
  • Aktuální: Šedý zákal (katarakta)

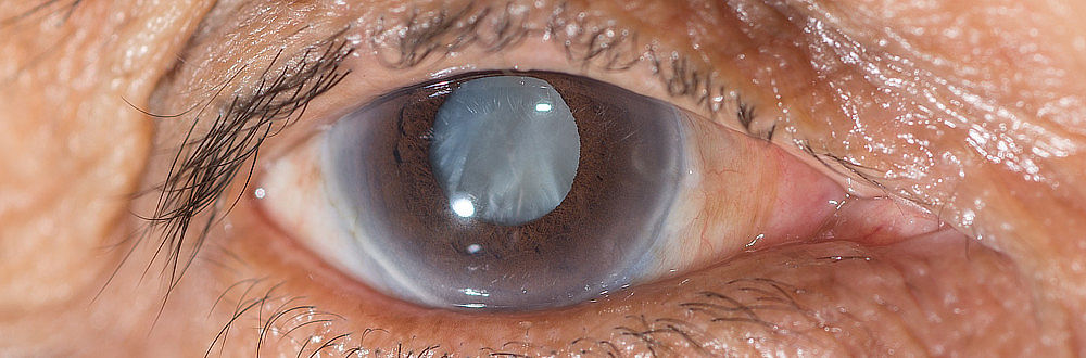
Šedý zákal (katarakta)

Zelený a šedý zákal 6 min. čtení
Autor: gesundheit.gv.at
Datum poslední aktualizace: 16. 7. 2021

U katarakty je zakalena oční čočka, odtud pochází i název „šedý zákal“. Jednou z nejčastějších příčin katarakty je pokročilý věk. Člověk postižený šedým zákalem vidí čím dál rozmazaněji a méně ostře, jako kdyby měl před očima závoj. Barvy vnímá matněji a reaguje citlivěji na jasné světlo.

K poruchám vidění, resp. zakalenému zraku, však mohou vést i jiné příčiny. Kataraktu lze léčit operačním zákrokem, při kterém je z oka vyňata zakalená čočka (viz článek Oko: struktura a funkce) a nahrazena čočkou umělou.

Katarakta: co to je?

Katarakta je onemocnění oka, při kterém dochází k zakalení čočky a následkem toho i k poškození zraku. Zákal může být různě silný a většinou se vyvíjí postupně. Poruchu vidění postižený člověk většinou zaznamená až v pokročilejším stadiu onemocnění.

Katarakta může mít různé příčiny vzniku:

  • věk – převážná většina případů (asi 90 %) se vyskytne v průběhu stárnutí; u tzv. senilní katarakty (stařeckého zákalu, lat. cataracta senilis) se zrak zhoršuje postupně;
  • různá systémová onemocnění (např. cukrovka, tetanie, myotonie, atopický ekzém, Downův syndrom apod.) nebo onemocnění oka (např. uveitida, nitrooční záněty); k rychlejšímu rozvoji katarakty většinou dochází i po nitroočních operacích (např. operační léčba glaukomu nebo odstranění sklivce);
  • poranění oka;
  • působení záření (rentgenové záření, radioaktivní záření, tepelné záření); málokdo si uvědomuje, že ke vzniku senilní katarakty může přispět i intenzivní sluneční záření;
  • pravděpodobně i některé léky, např. kortizon.

U vrozeného šedého zákalu hraje roli dědičnost: takto postižené děti mají zakalenou čočku již od narození. Kromě dědičného šedého zákalu se u novorozenců může vyskytnout i tzv. získaný šedý zákal (např. pokud matka během těhotenství prodělala infekci zarděnek). U dětí postižených galaktosemií se může vyskytnout tzv. galaktosemická katarakta. Galaktosemie je vrozená porucha metabolismu, v jejímž důsledku organismus neumí správně odbourávat cukr; tato porucha se však vyskytuje poměrně vzácně. Šedý zákal, který se projeví v mladém věku, se označuje jako juvenilní katarakta. Odborníci rozlišují různé typy juvenilní katarakty, jedním z nich je tzv. koronární katarakta.

Diagnóza šedého zákalu

Při anamnestickém rozhovoru se oční lékař pacienta důkladně vyptá na všechny obtíže a problémy související se zrakem.

Následuje oční vyšetření pomocí různých měřicích přístrojů, které potvrdí či vyvrátí podezření na šedý zákal. Lékař přesně změří zrakovou ostrost i refrakci oka (ta se měří pomocí přístroje označovaného jako refraktometr). Zrak se měří s brýlemi i bez brýlí; lékař přitom používá tabulku určenou k měření zrakové ostrosti nebo speciální projektor.

Kromě vyšetření sklivce, přední části oka, kde je centrem lékařovy pozornosti zejména čočka (vyšetření pomocí štěrbinové lampy), a očního pozadí (pomocí oftalmoskopu neboli „očního zrcátka“) se lékař zaměří na vyšetření zornicového reflexu a pohybů očí. Aby lékař mohl řádně vyšetřit čočku a periferní sítnici (část sítnice sloužící k perifernímu vidění), nakape do pacientova oka mydriatikum, což je roztok s látkou rozšiřující zornici.

Lékař může navíc vyšetřit i nitrooční tlak (pomocí přístroje označovaného jako tonometr) a zorné pole, případně pomocí specializovaných přístrojů provést i některá další vyšetření oka.

Léčba šedého zákalu

Metodou volby při léčbě šedého zákalu je operační zákrok, při kterém je z pacientova oka vyňata jeho přirozená (avšak zakalená) čočka a nahrazena čočkou umělou. Tento zákrok je pacientům doporučován v případech, kdy se již cítí výrazněji omezeni v práci i ve volném čase (např. při čtení nebo při řízení auta) a nezvládají již každodenní činnosti tak dobře jako předtím. Na operaci většinou není nutné spěchat. Za jistých okolností se však potřeba operačního zákroku může stát naléhavou (např. u tzv. přezrálé katarakty, kdy se tkáň čočky „rozpouští“), v některých případech naopak nelze operaci provést vůbec (např. když je u pacienta zároveň diagnostikováno i jiné onemocnění oka).

Poznámka: Léčebný plán by měl být v každém případě konzultován s očním lékařem a pacient by měl chodit na pravidelná kontrolní vyšetření. Jedině tak může lékař zjistit, zda a jak šedý zákal postupuje, a podle toho pacientovi navrhnout vhodný termín operace.

Oční lékař informuje pacienta o různých typech čočky, o samotné operaci, jejích výhodách a rizicích, a také o tom, na co by si pacient po operaci měl dávat pozor. Samotný chirurgický zákrok pak lze provést ambulantně (tak je tomu ve většině případů) nebo za hospitalizace. Operace probíhá nejčastěji v lokální anestezii (místní znecitlivění), jen zřídka je zapotřebí provádět operaci v celkové anestezii. V průběhu operace chirurg původní čočku zmenší a odstraní a na její místo implantuje umělou čočku (tzv. nitrooční čočka). Umělá čočka většinou zlepší vidění do dálky. Má-li pacient po operaci potíže s viděním na blízko, lze tuto vadu korigovat brýlemi na čtení.

Pro léčbu katarakty zatím neexistuje žádný lék, jehož účinnost by byla vědecky prokázána. U některých pacientů se alespoň na nějakou dobu podaří zhoršování zraku „korigovat“ pomocí brýlí nebo kontaktních čoček.

Operace u kojenců a malých dětí

Operaci u novorozenců s vrozenou kataraktou je potřeba provést co možná nejdříve, aby bylo minimalizováno riziko vzniku tupozrakosti, která by pak mohla přetrvávat po celý život. U dětí se oko i trojrozměrné vidění teprve vyvíjí a během několika málo let se refrakce oka silně mění. Při operačním zákroku u kojence je odstraněna jeho zakalená čočka, do věku jednoho roku je oko ponecháno bez čočky. Po dosažení jednoho roku věku je do oka dítěte implantována umělá nitrooční čočka. U některých dětí je potřeba korigovat refrakční vadu pomocí kontaktních čoček nebo brýlí; často je nutné léčit i tupozrakost, která se většinou po chirurgickém zákroku objeví.

Na koho se mohu obrátit?

Kataraktu diagnostikuje oční lékař (neboli oftalmolog či odborný lékař v oboru oční lékařství), který pacienta zároveň informuje o možnostech léčby a případně mu doporučí operační zákrok.

Rodiče nebo zákonní zástupci by měli nechat co možná nejdříve vyšetřit zrak dítěte, pokud zpozorují nápadné nebo podezřelé změny. Vyvíjející se zrak dítěte může posoudit i jeho ošetřující dětský lékař v rámci všeobecných preventivních prohlídek, který v případě potřeby může vydat doporučení k vyšetření u očního lékaře.

Na diagnostiku a léčbu onemocnění očí se specializují oční ambulance v nemocnicích. V některých případech může být vyžadována hospitalizace pacienta na specializované klinice či oddělení. Na procesu diagnostiky a léčby se však někdy mohou podílet i lékaři jiných odborností, např. diabetologové (u pacientů trpících cukrovkou) apod.

Na diagnostice a léčbě se mohou podílet i optometristé, kteří vyrobí a upraví optické pomůcky a poučí pacienta, jak má s těmito pomůckami manipulovat. Optometristé však neprovádějí oftalmologické vyšetření.

Jak jste spokojeni s tímto článkem?

Vaše zpětná vazba

Sdílejte článek

Mohlo by vás zajímat

Vše z kategorie

Související články na NZIP

Mozek, nervy a smysly

Oko: struktura a funkce

Oko se skládá z mnoha různých struktur, které ve složitém souladu dohromady provádějí různé úkony...

Zelený a šedý zákal

Zelený zákal (glaukom): co to je?

Pod pojmem zelený zákal neboli glaukom se rozumí celá skupina různých onemocnění, jejichž společn...

Zelený a šedý zákal

Zelený zákal (glaukom): diagnóza a léčba

Za účelem diagnostiky glaukomu provádí oční lékař různá vyšetření, jako je např. vyšetření očního...

Refrakční vady a vetchozrakost

Laserová léčba krátkozrakosti

Korekce krátkozrakosti (myopie) se nejčastěji provádí pomocí brýlí nebo kontaktních čoček. Kromě...

Garant obsahu

Ministerstvo zdravotnictví

Palackého náměstí 375/4
128 01 Praha 2 – Nové Město

www.mzcr.cz

Garant vývoje

Ústav zdravotnických informací a statistiky ČR

Palackého náměstí 375/4
128 01 Praha 2 – Nové Město

www.uzis.cz

Najdete na NZIP
Průvodci zdravím
Prevence a zdravý životní styl
Informace o nemocech
Životní situace
Datové zpravodajství
Mapa zdravotní péče
Rejstřík pojmů
Hry
Mapa obsahu
O portálu
O NZIP
Zapojené organizace
Pro partnery a média
Prohlášení o přístupnosti
Kdo jsme
Sledujte nás
Napište nám Přihlaste se k odběru newsletteru

Národní zdravotnický informační portál [online]. Praha: Ministerstvo zdravotnictví ČR a Ústav zdravotnických informací a statistiky ČR, 2026 [cit. 18. 4. 2026]. Dostupné z: https://www.nzip.cz. ISSN 2695-0340.


Ministerstvo zdravotnictví Ústav zdravotnických informací a statistiky ČR
  • Systematická edukace a zvyšování zdravotní gramotnosti populace prostřednictvím NZIP (CZ.03.02.02/00/22_005/0001137)
  • Zvyšování informovanosti prostřednictvím Národního zdravotnického informačního portálu (CZ.03.4.74/0.0/0.0/15_025/0016090)
PROHLÁŠENÍ O PŘÍSTUPNOSTI